์ ์ฅ์ ์ด๋ค ์ญํ ์ ํ ๊น? ์์ธ·์ฆ์·์น๋ฃ·๋ณดํ๊น์ง ์๋ฒฝ ๊ฐ์ด๋
์ ์ฅ์ ์ด๋ค ์ญํ ์ ํ ๊น์? ์ ์ฅ(์ฝฉํฅ)์ ์ฒด๋ด ๋ ธํ๋ฌผ๊ณผ ์๋ถ์ ๋ฐฐ์ถํ๊ณ , ํ์·ํธ๋ฅด๋ชฌ·์ ํ๊ตฌ ์์ฑ๊น์ง ์กฐ์ ํ๋ ์ค์ํ ๊ธฐ๊ด์ ๋๋ค. ์์ธ๋ํ๊ต ์๊ณผ๋ํ ์ฐ๊ตฌ์ง์ “์ ์ฅ์ ๋จ์ํ ๋ฐฐ์ค๊ธฐ
news.knowhow888.com
๐ ๊ณ ํ์๊ณผ ์ฐ๊ด๋ ์งํ๋ค: ์ฌํ๊ด์งํ·์ ์ฅ๋ณ·๋์กธ์ค ์๋ฐฉ ์ฒดํฌํฌ์ธํธ
์ข ์๋ฆฌ์ ์ฅ๊ฐ ๋ฌ์ ๋? ์์ธ๋ถํฐ ์๋ฐฉ๊น์ง ํ ๋ฒ์ ์ ๋ฆฌ!์ฅ์ผ ๊ฑธ๋ ธ์ ๋ ๋จน์ด์ผ ํ ์์ & ํผํด์ผ ํ ์์๏ฝ3์ผ ํ๋ณต ์๋จํ ์ด์ ๋ฆฌ์ฅ์ผ ๊ฑธ๋ ธ์ ๋ ๋ญ ๋จน์ด์ผ ํ ๊น? – ์๊ธ ์๋ถ ๋ณด์ถฉ → ๋จน๋ ๋ฒ
news.knowhow888.com
1. ๋๊ฒฝ์์ด๋ ๋ฌด์์ธ๊ฐ



- ๋๊ฒฝ์(ํํ์ฑ ๋์กธ์ค)์ ๋ํ๊ด์ด ํ์ (๋๋ ์์ )์ผ๋ก ๋งํ ๋๋ก ๊ฐ๋ ํ๋ฅ๊ฐ ์ฐจ๋จ๋๊ณ , ๊ทธ ๊ฒฐ๊ณผ ๋์กฐ์ง์ด ์ฐ์·์์๋ถ ๊ณต๊ธ์ ๋ฐ์ง ๋ชปํด ์์์ ์ ๋ ์ํ์ ๋๋ค. Cedars-Sinai+2Cleveland Clinic+2
- ์ด๋ก ์ธํด ํด๋น ๋ถ์ ๋์ธํฌ๊ฐ ๋น ๋ฅด๊ฒ ๊ธฐ๋ฅ์ ์๊ฑฐ๋ ์ฃฝ๊ฒ ๋๊ณ , ๊ทธ์ ๋ฐ๋ผ ์ ์ฒด์ ๊ธฐ๋ฅ์์ค(์: ๋ง๋น, ์ธ์ด์ฅ์ ๋ฑ)์ด ๋ํ๋ฉ๋๋ค. Yale Medicine+1
- ๋ํ ์ ์กฐ์ฆ์์ผ๋ก ๋ณผ ์ ์๋ ์ผ๊ณผ์ฑ ํํ๋ฐ์(TIA: Transient Ischemic Attack)์ด ์์ ์ ์์ผ๋ฉฐ, ์ด๋ “์์ ๋์กธ์ค”์ด๋ผ ๋ถ๋ฆฌ๋ฉฐ ๋๊ฒฝ์์ด ๋ฐ์ํ๊ธฐ ์ ๊ฒฝ๊ณ ์ ํธ๊ฐ ๋ ์ ์์ต๋๋ค. Mayo Clinic+1
- ๋๊ฒฝ์์ ๋น ๋ฅธ ์น๋ฃ๊ฐ ์ง์ฒด๋๋ฉด ์๊ตฌ์ฅ์ ๋ ์ฌ๋ง์ผ๋ก ์ด์ด์ง ์ ์์ผ๋ฏ๋ก, ์กฐ๊ธฐ ์ธ์ง์ ์ฆ๊ฐ ๋์์ด ๋งค์ฐ ์ค์ํฉ๋๋ค. www.stroke.org+1

2. ๋๊ฒฝ์์ ์ ์กฐ์ฆ์ ๋ฐ ํ์ ์ฆ – ์ ์ค์ํ๋ค



์ ์ค์ํ๋
- ์ ์กฐ์ฆ์์ ํตํด ์กฐ๊ธฐ์ ๋ฐ๊ฒฌํ๋ฉด ์น๋ฃ ์์์ด ๋นจ๋ผ์ ธ ๋์์ ๋ฒ์๊ฐ ์ค์ด๋ค๊ณ ํ์ ์ฆ ๊ฐ๋ฅ์ฑ์ด ๋ฎ์์ง๋๋ค. www.stroke.org+1
- ๋ฐ๋๋ก ๋์์ด ๋ฆ์ผ๋ฉด ํ ๋ฒ ์์๋ ๋์กฐ์ง์ ํ๋ณต์ด ์ด๋ ต๊ณ , ๋ง๋น·์ธ์ด์ฅ์ ·์ธ์ง์ ํ·๊ฐ๊ฐ์ฅ์ ๋ฑ ์๊ตฌ ํ์ ์ฆ์ด ๋จ์ ์ ์์ต๋๋ค.
- ๋ํ ์ ์กฐ์ฆ์ ์์ฒด๊ฐ ๋๊ฒฝ์์ ์ ์กฐ๋ ๊ฒฝ๊ณ ์ ํธ๊ฐ ๋๋ฉฐ, TIA ํ ๋๊ฒฝ์ ๋ฐ์ ์ํ์ด ๋์ต๋๋ค. NCBI+1
์ฃผ์ ํ์ ์ฆ
- ๋ฐ์ ๋ง๋น ๋๋ ๋ง๋น ํ ๊ธฐ๋ฅ์ ํ (ํ·๋ค๋ฆฌ)
- ์ธ์ด์ฅ์ (์ค์ด์ฆ), ๋ง ๋๋ฌ๊ธฐ
- ์์ผ์ฅ์ , ์ธ์ง๊ธฐ๋ฅ ์ ํ, ์น๋งค ์ ์ฌ ์ฆ์
- ๋ณดํ์ฅ์ , ๊ท ํ๊ฐ๊ฐ ์ ํ
- ์ ์๋ณํ(์ฐ์ธ, ๋ถ์) ๋ฐ ์ฌํ์ ํ๋ ์ ํ
๋ฐ๋ผ์ ์ ์กฐ์ฆ์์ ๋ฌด์ํ์ง ์๊ณ , ๋น ๋ฅด๊ฒ ๋์ํ๋ ๊ฒ์ด ๋งค์ฐ ์ค์ํฉ๋๋ค.
3. ‘์ด ์ฆ์’ ์๋ค๋ฉด ๋น์ฅ 119 ๋๋ ์๊ธ์ค์! – ๊ธ์ฑ ๋๊ฒฝ์ ์ ์กฐ์ฆ์ 5๊ฐ์ง



์๋ ์ฆ์ ์ค ํ๋๋ผ๋ ๊ฐ์๊ธฐ ๋ํ๋๋ฉด “์ง์ฒด ์์ด ์๊ธ์กฐ์น ๋ฐ ๋ณ์ ์ด์ก”์ด ํ์ํฉ๋๋ค.
- ์ผ๊ตด ํ์ชฝ์ด ์ฒ์ง๊ฑฐ๋ ๋ง๋น / ์ผ๊ตด๊ฐ๊ฐ ์ด์
- ํ์ชฝ ์ ๊ผฌ๋ฆฌ๋ง ๋ด๋ ค๊ฐ๊ฑฐ๋ ์์ ๋ ๋น๋์นญ์ด ๋ํ๋จ. Stony Brook Medicine Health News+1
- ํ์ชฝ ํ ๋๋ ๋ค๋ฆฌ๊ฐ ํ์ด ๋น ์ง๊ฑฐ๋ ๋ง๋น๋จ / ๊ฐ๊ฐ์ด ๋ํด์ง
- ์ํ ๋ค์์ ๋ ํ์ชฝ์ด ๋จ์ด์ง๊ฑฐ๋ ์์ง์ด๊ธฐ ์ด๋ ค์. Mayo Clinic+1
- ์ธ์ด์ฅ์ / ๋ฐ์์ด ์ด๋ํ๊ฑฐ๋ ๋ง์ด ์ ์ ๋์ด / ๋ค๋ฅธ ์ฌ๋ ๋ง ์ดํด ์ด๋ ค์
- ๊ฐ์๊ธฐ ๋ง์ด ์ด๋ํด์ง๊ฑฐ๋ ํ์ง ์์๋ ๋๋ ๋ง์ ์ง์ด๋. Cleveland Clinic+1
- ์์ผ ์ด์, ํ์ชฝ ํน์ ์์ชฝ ๋์ด ๋ณด์ด์ง ์๊ฑฐ๋ ์์ผ๊ฐ ํ๋ ค์ง, ๋ณต์
- ์์ผ๊ฐ ๊ธ๊ฒฉํ ํ๋ ค์ง๊ฑฐ๋ ๊ฒ๊ฒ ๊ฐ๋ ค์ง. Cleveland Clinic+1
- ๊ฐ์์ค๋ฐ ์ด์ง๋ผ์ฆ, ๊ฑธ์ ์ ์์, ๊ท ํ๊ฐ๊ฐ ์์ค / ์ฌํ ์์ธ๋ถ๋ช
์ ๋ํต
- ํน๋ณํ ์ด์ ์์ด ๋จธ๋ฆฌ๊ฐ ๊นจ์ง ๋ฏ ์ํ๊ฑฐ๋(ํนํ ์ถํ ๊ฐ๋ฅ์ฑ ํฌํจ) ๊ฐ์๊ธฐ ๊ธฐ๋ฆฝ์ด ์ด๋ ต๊ฑฐ๋ ๋นํ๊ฑฐ๋ฆผ. Northwestern Medicine+1
FAST ๋ฒ์น ๊ธฐ์ตํ์ธ์
- F (Face): ์ผ๊ตด์ด ํ์ชฝ์ผ๋ก ์ฒ์ ธ ์๋?
- A (Arm): ํ์ ๋ค์ด๋ณด์ธ์. ํ์ชฝ ํ์ด ๋จ์ด์ง๋?
- S (Speech): ๋ง์ ํด๋ณด๊ฒ ํ์ธ์. ๋ง์ด ์ด๋ํ๊ฐ?
- T (Time): ์ฆ์์ด ๋ํ๋ฌ๋ค๋ฉด ์ฆ์ ๋ณ์์ผ๋ก! www.stroke.org+1
์ ์ฆ์์ ๋ฐ๋์ ์ฐธ๊ณ ์ฉ์ด๋ฉฐ, ์ค์ ์๋ ์ด๋ณด๋ค ๋ ๋๋ ทํ ์ ์กฐ๊ฐ ๋ํ๋ ์ ์์ผ๋ฏ๋ก “ํ์์ ๋ค๋ฅด๋ค”๊ณ ๋๋๋ค๋ฉด ๊ณง๋ฐ๋ก ์ ๋ฌธ์๋ฃ๊ธฐ๊ด์ ๊ฐ์ผ ํฉ๋๋ค.
4. ๊ธ์ฑ ๋๊ฒฝ์ ์ด๊ธฐ ๋์๋ฒ ๋ฐ ์ ์กฐ์ฆ์ ์ด์ ๋ฆฌ



"์ด ํฌ์คํ ์ ์ฟ ํก ํํธ๋์ค ํ๋์ ์ผํ์ผ๋ก, ์ด์ ๋ฐ๋ฅธ ์ผ์ ์ก์ ์์๋ฃ๋ฅผ ์ ๊ณต๋ฐ์ต๋๋ค."
โ ์ด๊ธฐ ๋์๋ฒ – “์๊ฐ์ด ๋๋ค”
- ์ฆ์์ด ๋ํ๋๋ฉด **์ฆ์ 119 ํธ์ถ ๋๋ ๊ฐ๊น์ด ๋ณ์ ์๊ธ์ค(๋์กธ์ค์ผํฐ)**๋ก ์ด์กํด์ผ ํฉ๋๋ค. ์ง์ฒดํ๋ฉด ๋์ธํฌ๊ฐ ๋น ๋ฅด๊ฒ ์์๋ฉ๋๋ค. Verywell Health
- ๋ณ์์ ๋์ฐฉํ๋ฉด CT ๋๋ MRI ๊ฒ์ฌ, ํ๊ด์ดฌ์ ๋ฑ์ด ์ด๋ฃจ์ด์ ธ ์์ธ ๊ท๋ช ๋ฐ ์น๋ฃ๊ณํ์ด ์ธ์์ง๋๋ค. PMC
- ์น๋ฃ ๋ฐฉ๋ฒ์ผ๋ก๋ ํ์ ์ฉํด์ (ํ์ ์ ๋ น์ด๋ ์ฝ๋ฌผ์น๋ฃ), ํ๊ด๋ด ์น๋ฃ(์์ ์ ๊ฑฐ์ ) ๋ฑ์ด ์์ผ๋ฉฐ, ๊ฐ๋ฅํ ํ ๋นจ๋ฆฌ ์ํ๋ ์๋ก ํจ๊ณผ์ ์ ๋๋ค. (โป ๋ณธ ๋ฌธ์์์๋ ๊ตฌ์ฒด์ ์ฝ๋ฌผ๋ช ์ด๋ ์์ ๋ช ์ ๋ค๋ฃจ์ง ์์ต๋๋ค)
- ๋ณ์์ผ๋ก ์ด๋ ์ค์๋ ํ์๋ฅผ ์์ง์ด๊ธฐ๋ณด๋ค๋ ์์ ์ํ ์ ์งํ๊ณ , ๊ตฌํ ·ํธํก๊ณค๋ ๋ฑ ์๋ค๋ฉด ์๊ธ ๋์ ์์์ ๊ธฐ๋ค๋ฆฌ๋ ๊ฒ์ด ์ข์ต๋๋ค.
โก ์ ์กฐ์ฆ์ ์ด์ ๋ฆฌ
์๋๋ ์ ์กฐ์ฆ์์ผ๋ก ๋ํ๋ ์ ์๋ ์งํ๋ค์ ์ ๋ฆฌํ ๊ฒ์ ๋๋ค.
- ํ์ชฝ ์ผ๊ตด ์ฒ์ง ๋๋ ๊ฐ๊ฐ์ด์
- ํ์ชฝ ํ·๋ค๋ฆฌ ํ ๋น ์ง ๋๋ ์ ๋ฆผ / ๊ฐ๊ฐ์ด ๋ํด์ง
- ์ธ์ด ์ด์(๋ง์ด ์ด๋ํด์ง๊ฑฐ๋ ์ดํด ๋ชป ํจ)
- ์์ผ์ด์(๋ณต์, ํ๋ฆผ, ํ์ชฝ ๋ ์ ๋ณด์)
- ์ด์ง๋ผ์ฆ, ๋ณดํ์ฅ์ , ๊ท ํ๊ฐ๊ฐ ์์ค
- ์ฌํ ๋ํต(ํนํ ํ์ ๊ฒฝํ ์๋ ์ข ๋ฅ)
- ์ผ์์ ์ธ ์ฆ์(์ ๋ถ ~ ์ ์๊ฐ) ๋ค ํ๋ณต๋๋ ์ฆ์ → ์ด ๊ฒฝ์ฐ๋ TIA ๊ฐ๋ฅ์ฑ์ผ๋ก ๋งค์ฐ ๊ฒฝ๊ณ ์ ์ ๋๋ค. Mayo Clinic+1
โข ํ์๊ด๋ฆฌ ๋ฐ ์๋ฐฉ
- ์ฆ์์ด ๋ํ๋ ๊ทธ์น๋๋ผ๋ ์ด์ ๋ํด ์ ๋๋ก ์์ฌํด์ ์ ๋ฉ๋๋ค. TIA ์ดํ 48์๊ฐ ์ด๋ด ๋๊ฒฝ์ ๋ฐ์ ์ํ์ด ํนํ ๋์ต๋๋ค. NCBI+1
- ์ํ์ต๊ด ๊ฐ์ : ๊ณ ํ์, ๋น๋จ, ๊ณ ์งํ์ฆ, ๋น๋ง, ํก์ฐ, ๊ณผ์ ๋ฑ์ ๊ต์ ํด์ผ ํฉ๋๋ค.
- ๊ท์น์ ์ธ ์ด๋, ๊ฑด๊ฐํ ์์ฌ(์ฑ์·๊ณผ์ผ ์ค์ฌ, ๋ํธ๋ฅจ ์ ํ), ์ฒด์ค๊ด๋ฆฌ
- ์ ๊ธฐ์ ์ธ ํ์·ํ๋น·์ฝ๋ ์คํ ๋กค ๊ฒ์ฌ ๋ฐ ์ฌ์ฅ์ํ(ํนํ ๋ถ์ ๋งฅ ์ฌ๋ถ) ์ ๊ฒ
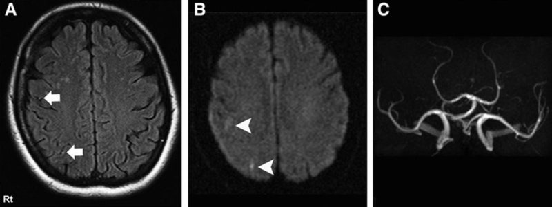
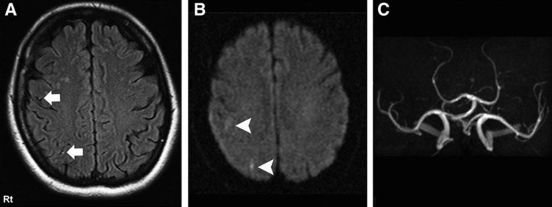
5. ๋๊ฒฝ์ ์ ์กฐ์ฆ์์ธ๋ฐ ๋โฏMRI ๊ฒ์ฌ์์ ์ ์์ด๋ผ๋ฉด?



- ์ ์กฐ์ฆ์(์: ํ์ชฝ ํ ์ ๋ฆผ, ์ธ์ด์ฅ์ ๋ฑ)์ด ์์ง๋ง MRI์์ ๋๋ ทํ ์ด์์ด ๋ฐ๊ฒฌ๋์ง ์๋ ๊ฒฝ์ฐ๊ฐ ์์ ์ ์์ต๋๋ค.
- ์ด ๊ฒฝ์ฐ ๊ฐ๋ฅํ ํด์ ๋ฐ ๋์ ๋ฐฉ๋ฒ์ ๋ค์๊ณผ ๊ฐ์ต๋๋ค :
- ์ฆ์์ด ๋๋ฌด ์ผ์์ ์ด์๊ฑฐ๋ ํ๋ฅ ์ ํ๊ฐ ์งง์๊ธฐ ๋๋ฌธ์ ๋์กฐ์ง ์์์ด ๋ํ๋์ง ์์๊ฑฐ๋ ์์์ ๋๋ฌ๋์ง ์์ ๊ฒ์ผ ์ ์์ต๋๋ค.
- **TIA(์ผ๊ณผ์ฑ ํํ๋ฐ์)**์์ ๊ฐ๋ฅ์ฑ์ด ํฌ๋ฉฐ, ์ด๋ ์์ ์ infarction(๊ฒฝ์ ์กฐ์ง)์ด ๋จ์ง ์๋ ๊ฒฝ์ฐ๊ฐ ๋ง์ต๋๋ค. PMC+1
- ํ์ง๋ง ์์์ด ์ ์์ด๋ผ๊ณ ํด์ “๋ฌธ์ ๊ฐ ์๋ค”๊ณ ๋จ์ ํด์๋ ์ ๋ฉ๋๋ค. ์๋ํ๋ฉด ๋๊ฒฝ์์ด ๋ฐ์ํ ๊ฐ๋ฅ์ฑ ์์ฒด๊ฐ ์๋ ๊ฒฝ๊ณ ์ํ์ด๊ธฐ ๋๋ฌธ์ ๋๋ค. ๋ฐ๋ผ์ ์ฆ์์ด ์์ ๋๋ ์ ๋ฌธ์ ์๋ด ๋ฐ ํ๊ด·์ฌ์ฅ ์ํ ํ๊ฐ๊ฐ ํ์ํฉ๋๋ค.
- ์ถ๊ฐ๋ก ํ๊ด์ด์ํ(๊ฒฝ๋๋งฅ), ์ฌ์ฅ์ด์ํ, ์ฌ์ ๋(ํนํ ๋ถ์ ๋งฅ ๊ฒ์ฌ) ๋ฑ์ ํตํด ์์ ์(embolic source)์ด๋ ํ๊ดํ์ฐฉ ์ฌ๋ถ๋ฅผ ํ์ธํ๋ ๊ฒ์ด ์ข์ต๋๋ค.
- ์์ฝํ๋ฉด: MRI๊ฐ ์ ์์ด๋ผ๋ ์ฆ์์ด ์์๋ค๋ฉด “์ํ ์ ํธ”๋ก ๊ฐ์ฃผํ๊ณ ์ ๊ทน์ ์ผ๋ก ์๋ฐฉ์ ๋์์ ํด์ผ ํฉ๋๋ค.
6. ๋๊ฒฝ์ ์ ์กฐ์ฆ์ ๋ฐ ์ด๊ธฐ์ฆ์ (FAST ๋ฒ์น ํฌํจ)



- ์์ ๋ง์๋๋ฆฐ FAST(Face, Arm, Speech, Time) ๋ฒ์น์ ๋๊ฒฝ์์ ์ ์ํ ์ธ์งํ๊ณ ๋์ํ๊ธฐ ์ํ ๋งค์ฐ ์ ์ฉํ ๊ธฐ์ต ๋๊ตฌ์
๋๋ค. www.stroke.org+1
- Face: ์ผ๊ตด ํ์ชฝ ์ฒ์ง
- Arm: ํ ํ๋๊ฐ ๋ค๋ฆฌ์ง ์๊ฑฐ๋ ๋จ์ด์ง
- Speech: ๋ง์ด ์ด๋ํ๊ฑฐ๋ ์ดํด๊ฐ ์ ๋จ
- Time: ์ ์ฆ์ ๋ฐ์ ์ ์ฆ์ ์กฐ์น
- ์ด๊ธฐ์ฆ์ ๋ฐ ์ ์กฐ์ฆ์์๋ ๋ค์๋ ํฌํจ๋ฉ๋๋ค:
- ํ์ชฝ ํ๋ค๋ฆฌ ํ ๋น ์ง ๋๋ ์ ๋ฆผ
- ๊ฐ์์ค๋ฐ ์์ผ์ฅ์ , ๋ณต์
- ์์ธ ๋ถ๋ช ์ ์ด์ง๋ผ์ฆ, ๊ท ํ๊ฐ๊ฐ ์ด์
- ํผ๋, ์ดํด·์ธ์ด์ฅ์
- ์ฌํ ๋ํต(ํนํ ์ถํ ๊ฐ๋ฅ์ฑ ๋๋ฐ ์)
- ์ด๋ฌํ ์ฆ์์ด ๋ํ๋๋ฉด “๊ณง๋ฐ๋ก ๋ณ์”์ด๋ผ๋ ์ธ์์ ๊ฐ๋ ๊ฒ์ด ์ค์ํฉ๋๋ค.
7. ๋์ถํ ์ ์กฐ์ฆ์ ์กฐ์ฌํด๋ณด๋ – ๋๊ฒฝ์๊ณผ ๋ฌ๋ฆฌ ‘๊ฐ์๊ธฐ’ ๋ฐ์ํ๋ ํน์ง



- ๋์ถํ์ ๋ํ๊ด์ด ํ์ด๋์ด ๋๋ด์ ์ถํ์ด ์๊ธฐ๋ ์ํ์ด๋ฉฐ, ๋๊ฒฝ์๊ณผ๋ ๋ค์ ์ฆ์ ์์์ด ๋ค๋ฅผ ์ ์์ต๋๋ค.
- ํน์ง์ ์ผ๋ก “๋งค์ฐ ๊ฐ์๊ธฐ”, “์ฌํ ๋ํต(๋ฒผ๋ฝ์น๊ธฐ ๋ํต)”์ด ๋๋ฐ๋๋ ๊ฒฝ์ฐ๊ฐ ๋ง์ต๋๋ค. Healthline+1
- ๋ฐ๋ผ์ ๋๊ฒฝ์ ์ ์กฐ์ฆ์๊ณผ ์ ์ฌํ ์ฆ์์ด ๋ํ๋๋๋ผ๋ **๋ํต์ด ํนํ ์ฌํ๊ฑฐ๋ ์ถํ์ ์์ฌํ ๋งํ ์ํฉ(๊ณ ํ์ ์ํ, anticoagulant ๋ณต์ฉ ๋ฑ)**์ด๋ฉด ๋ ๊ธ๋ฐํ๊ฒ ๋์ํด์ผ ํฉ๋๋ค.
- ์์ฝ: ๋๊ฒฝ์์ ์ ์กฐ → ์ ์ฐจ → ์น๋ฃ ๊ธฐํ๊ฐ ์๋ ๊ฒฝ์ฐ๊ฐ ๋ง๋ค๋ฉด, ๋์ถํ์ ๋จ์๊ฐ ๋ด์ ๊ธ๊ฒฉํ ์ ํ๋ ์ ์๋ค๋ ์ ์์ ๊ตฌ๋ถ์ด ํ์ํฉ๋๋ค.
8. ์์ธ๊ณผ ๋์ฒ๋ฒ: ๋๊ฒฝ์ ์ ์กฐ์ฆ์ ๋ฐ ์ด๊ธฐ์ฆ์ 7๊ฐ์ง๋ก ์ดํดํ๊ธฐ



๐ง ์์ธ
- ๊ณ ํ์ – ๋ํ๊ด๋ฒฝ์ด ์์๋๊ณ ์์ ·ํ์ ํ์ฑ ์ํ์ด ์ฌ๋ผ๊ฐ๋๋ค.
- ๋น๋จ๋ณ – ๋ฏธ์ธํ๊ด ์์ ๋ฐ ๋๋งฅ๊ฒฝํ ์ด์ง์ผ๋ก ์ํ ์ฆ๊ฐ
- ๊ณ ์งํ์ฆ(์ฝ๋ ์คํ ๋กค ์ด์) – ๋๋งฅ ๋ด ํ๋ผํฌ ํ์ฑ → ์์ /ํ์ ์ ๋ฐ
- ์ฌ๋ฐฉ์ธ๋(๋ถ์ ๋งฅ) – ์ฌ์ฅ์์ ์๊ธด ํ์ ์ด ๋ํ๊ด์ผ๋ก ์ด๋ํ ์ ์์ต๋๋ค.
- ๊ฒฝ๋๋งฅ ํ์ฐฉ ๋๋ ๊ธฐํ ๋·๋ชฉ ํ๊ด ํ์ฐฉ – ๋๋ก ๊ฐ๋ ํ๋ฅ๊ฐ ๊ฐ์ํ๊ฑฐ๋ ์์ ์ด ์๊ธฐ๊ธฐ ์ฌ์์ง๋๋ค.
- ํก์ฐ·๋น๋ง·์ด๋๋ถ์กฑ·๊ณผ์ – ์ํ์ต๊ด ์์ธ์ด ๋ณตํฉ์ ์ผ๋ก ์์ฉ
- ๊ธฐํ: ์ ์ ์ฑ ํ๊ด์งํ, ํ์ก์๊ณ ์ด์, ์ฌ์ฅ์งํ ๋ฑ
โ ๋์ฒ๋ฒ
- ์ํ์์ธ ๊ด๋ฆฌ: ํ์, ํ๋น, ์ฝ๋ ์คํ ๋กค์ ์ ๊ธฐ์ ์ผ๋ก ์ฒดํฌํ๊ณ ์ ์๋ฒ์ ์ ์ง
- ์ํ์ต๊ด ๊ฐ์ : ๊ธ์ฐ, ์ ์ ์ฒด์ค ์ ์ง, ์ ์ฐ์ ์ด๋ (์ฃผ 3~5ํ), ์ฑ์·๊ณผ์ผ ์ค์ฌ ์์ฌ, ๋ํธ๋ฅจ·ํฌํ์ง๋ฐฉ ์ ํ
- ์ ๊ธฐ๊ฒ์ง ๋ฐ ์๋ด: ์ฌ๋ฐฉ์ธ๋ ์์ฌ ์ ์ฌ์ ๋, ๊ฒฝ๋๋งฅ์ด์ํ ๋ฑ ํ๊ด๊ฒ์ฌ ๊ณ ๋ ค
- ์ฆ์ ๋ฐ์ ์ ๋น ๋ฅธ ๋์: ์์ ์ธ๊ธํ ์ ์กฐ์ฆ์์ด ๋ํ๋๋ฉด ์ฆ์ ์๊ธ์ค๋ก ์ด์ก
- ์๋ฃ๊ธฐ๊ด ์น๋ฃ ์ฐ๊ฒฐ: ์ฝ๋ฌผ์น๋ฃ(ํญํ์ํ์ , ํญ์๊ณ ์ ๋ฑ) ๋๋ ์์ ์ด ํ์ํ ์ ์์ผ๋ฉฐ, ์์ธ์ ๋ฐ๋ผ ๋ค๋ฅด๊ฒ ์ ๊ทผ๋ฉ๋๋ค. Mayo Clinic+1
โ ์ฆ์ 7๊ฐ์ง ์์ฝ
- ์ผ๊ตด ์ฒ์ง ๋๋ ๊ฐ๊ฐ ์ด์
- ํ์ชฝ ํ·๋ค๋ฆฌ ํ ๋น ์ง ๋๋ ์ ๋ฆผ
- ๋ง์ด ์ด๋ํ๊ฑฐ๋ ์ดํด๊ฐ ์ ๋จ
- ์์ผ ํ๋ฆผ, ๋ณต์, ์์ผ ์ผ๋ถ ์์ค
- ๊ฐ์์ค๋ฐ ์ด์ง๋ผ์ฆ, ๊ฑท๊ธฐ/๊ท ํ ์ด๋ ค์
- ์์ธ๋ถ๋ช ์ ์ฌํ ๋ํต
- ์ผ์์ ์ฆ์(์ ๋ถ~์ ์๊ฐ) ํ ํ๋ณต → TIA ๊ฐ๋ฅ์ฑ
๐ก ๊ตญ๋ฏผ๊ฑด๊ฐ๋ณดํ๊ณต๋จ ๊ณต์์๋ด ๋ฐ๋ก๊ฐ๊ธฐ
๐ง MRI·CT ๋๊ฒ์ฌ ์์ ๊ฐ์ด๋
๋๊ฒฝ์ ์ ์กฐ์ฆ์์ด ์์ฌ๋ ๋๋ MRI๋ CT ๊ฒ์ฌ๋ก ํ๊ด ์ํ๋ฅผ ์ ํํ ํ์ธํ๋ ๊ฒ์ด ์ค์ํฉ๋๋ค.
MRI๋ ํ๋ฅ ์ฐจ๋จ ๋ถ์๋ฅผ ์ธ๋ฐํ ๋ณผ ์ ์๊ณ , CT๋ ์ถํ ์ฌ๋ถ๋ฅผ ๋น ๋ฅด๊ฒ ํ์
ํ ์ ์์ต๋๋ค.
๐ก ๊ฒ์ฌ๋ ์กฐ๊ธฐ ๋ฐ๊ฒฌ์ด ์๋ช
์ ์งํต๋๋ค. 5๋ถ ์ฐจ์ด๋ก ์ํ๊ฐ ๋ฌ๋ผ์ง ์ ์์ต๋๋ค.
โป ๋ณ์๋ณ ๋น์ฉ ๋ฐ ๋ณดํ์ ์ฉ ์ฌ๋ถ๋ ์์ดํ๋ฉฐ, ์ ๊ฒฝ๊ณผ·์์์ํ๊ณผ ์๋ด์ ๊ถ์ฅํฉ๋๋ค.
โ ๋๊ฒฝ์ ์ํ๋ ์๊ฐ์ง๋จ ํ ์คํธ
๊ฐ๋จํ ์ฒดํฌ๋ฆฌ์คํธ๋ก ๋์ ๋๊ฒฝ์ ์ํ๋๋ฅผ ๋ฏธ๋ฆฌ ํ์ธํด๋ณด์ธ์.
๊ณ ํ์·๋น๋จ·๊ณ ์งํ์ฆ·ํก์ฐ ์ฌ๋ถ ๋ฑ 7๊ฐ์ง ํญ๋ชฉ์ผ๋ก ๊ตฌ์ฑ๋์ด ์์ต๋๋ค.
๊ฒฐ๊ณผ์ ๋ฐ๋ผ ์ํ์ต๊ด ๊ฐ์ ๊ณผ ์ ๊ธฐ๊ฒ์ง์ ๊ณํํ๋ ๊ฒ์ด ์ข์ต๋๋ค.
- โก ์ต๊ทผ ํ์์ด 140/90mmHg ์ด์์ด๋ค.
- โก ํ๋น์ด ๋๊ฑฐ๋ ๋น๋จ๋ณ ์ง๋จ์ ๋ฐ์๋ค.
- โก ์ฝ๋ ์คํ ๋กค์ด ๋๋ค๋ ๋ง์ ๋ค์๋ค.
- โก ํ๋ฃจ 10๊ฐ๋น ์ด์ ํก์ฐ ์ค์ด๋ค.
- โก ๊ฐ์กฑ ์ค ๋์กธ์ค(๋๊ฒฝ์·๋์ถํ) ํ์๊ฐ ์๋ค.
- โก ์ด์ง๋ผ·์ ๋ฆผ·๋ํต์ด ์์ฃผ ์๋ค.
- โก ์ด๋ ๋ถ์กฑ ๋๋ ๋น๋ง์ด๋ค.
๐ 4๊ฐ ์ด์ ํด๋น๋๋ค๋ฉด ๋๊ฒฝ์ ๊ณ ์ํ๊ตฐ์ผ๋ก ์ ๊ธฐ ๊ฒ์ง์ด ํ์ํฉ๋๋ค.
๐ ๋๊ฒฝ์ ๊ฒ์ฌ·์น๋ฃ ์ ๊ฑด๊ฐ๋ณดํ ์ ์ฉ ๋ฒ์
๋๊ฒฝ์์ด ์์ฌ๋์ด MRI·CT ๊ฒ์ฌ๋ฅผ ๋ฐ๋ ๊ฒฝ์ฐ, ๋๋ถ๋ถ์ ์ํฉ์์ ๊ตญ๋ฏผ๊ฑด๊ฐ๋ณดํ์ด ์ ์ฉ๋ฉ๋๋ค.
๋ค๋ง, ๋จ์ ๊ฑด๊ฐ๊ฒ์ง ๋ชฉ์ ์ด ์๋๋ผ ์์ฌ ํ๋จ์ ๋ฐ๋ฅธ ์ง๋จ·์น๋ฃ ๋ชฉ์ ์ด์ด์ผ ํฉ๋๋ค.
โ ๋ณดํ ์ ์ฉ ์ฃผ์ ํญ๋ชฉ
- โ MRI·CT ๊ฒ์ฌ๋น (์ ๊ฒฝํ์ ์ฆ์ ๋๋ฐ ์)
- โ ์๊ธ์ค ์ง๋ฃ๋น ๋ฐ ์ ์๋ฃ
- โ ํ์ ์ฉํด์ (TPA)·์์ ์ ๊ฑฐ์ ๋ฑ ์๊ธ์น๋ฃ๋น
- โ ๋ฌผ๋ฆฌ·์ธ์ด·์ธ์ง ์ฌํ์น๋ฃ (์์ฌ ์ฒ๋ฐฉ ์)
- โ ์ฝ๋ฌผ์น๋ฃ (ํญํ์ํ์ , ํญ์๊ณ ์ ๋ฑ)
โ ๏ธ ๋น๊ธ์ฌ ํญ๋ชฉ ์์
- โ ๋จ์ ๊ฑด๊ฐ๊ฒ์ง ๋ชฉ์ ์ MRI·CT
- โ ๊ณ ๊ธ๋ณ์ค(1์ธ์ค) ์ ํ ์ ์ถ๊ฐ๋น์ฉ
- โ ํน์ ๊ฑด๊ฐ์·๋ณด์กฐ์ ๊ตฌ์ ๋น
ํ์ฌ ๊ธฐ์ค(2025๋
10์), ๋·ํ๊ด ์งํ MRI·CT ๊ฒ์ฌ๋น๋ ์ฝ 20~30๋ง์ ์์ค์ด๋ฉฐ,
๊ฑด๊ฐ๋ณดํ์ด ์ ์ฉ๋๋ฉด ๋ณธ์ธ ๋ถ๋ด๊ธ์ ์ฝ 6~10๋ง์ ์ ๋๋ก ๋ฎ์์ง๋๋ค.
(โป ๋ณ์, ์ฅ๋น, ๊ฒ์ฌ๋ถ์์ ๋ฐ๋ผ ๋ค๋ฆ)
๐ก ๊ตญ๋ฏผ๊ฑด๊ฐ๋ณดํ๊ณต๋จ ๊ณต์์๋ด ๋ฐ๋ก๊ฐ๊ธฐ
โป ์ถ์ฒ: ๋ณด๊ฑด๋ณต์ง๋ถ·๊ตญ๋ฏผ๊ฑด๊ฐ๋ณดํ๊ณต๋จ, ใMRI ๊ธ์ฌ ํ๋ ์ง์นจใ, 2025๋ 1์ ๊ธฐ์ค
๋๊ฒฝ์ ๋ง๋ฌด๋ฆฌ
- ๋๊ฒฝ์์ ์๊ฐ์ด ๊ณง ๋์ธํฌ ์์์ ๋๋ค. ์ ์กฐ์ฆ์์ ์ธ์งํ๊ณ “์ง์ฒด ์์ด ๋์”ํ๋ ๊ฒ์ด ๊ทธ ๊ฒฐ๊ณผ๋ฅผ ๊ฒฐ์ ์ง์ต๋๋ค.
- ์ฆ์์ด ์ ์ ์ฌ๋ผ์ก๋ค ํ๋๋ผ๋ ์ด๋ ์ํ์ ํธ์ผ ์ ์์ผ๋ฉฐ, ์ ๋ฌธ ์๋ฃ๊ธฐ๊ด ์๋ด + ์๋ฐฉ๊ด๋ฆฌ๊ฐ ๋ฐ๋์ ํ์ํฉ๋๋ค.
- ์ด ๊ธ์ด ํฐ์คํ ๋ฆฌ ์๋จ๋ ธ์ถ์ฉ์ผ๋ก ๋์์ด ๋๊ธธ ๋ฐ๋ผ๋ฉฐ, ํ์ํ์๋ฉด ์ฌ๋ก, ํต๊ณ, ํ๊ตญ ํํฉ ๋ฐ์ดํฐ๋ ํจ๊ป ์ ๋ฆฌํด๋๋ฆด ์ ์์ต๋๋ค.
์ฅ์ผ ๊ฑธ๋ ธ์ ๋ ๋จน์ด์ผ ํ ์์ & ํผํด์ผ ํ ์์๏ฝ3์ผ ํ๋ณต ์๋จํ ์ด์ ๋ฆฌ
์ฅ์ผ ๊ฑธ๋ ธ์ ๋ ๋ญ ๋จน์ด์ผ ํ ๊น? – ์๊ธ ์๋ถ ๋ณด์ถฉ → ๋จน๋ ๋ฒ → 3์ผ ํ๋ณต ์๋จํ ์๋ฒฝ ๊ฐ์ด๋ ํ๋ ์์ฝ(๋จผ์ ์ฝ์ผ์ธ์)์ต์ฐ์ ์ ์๋ถ·์ ํด์ง ๋ณด์ถฉ(ORS): ๋ฌผ·์ด์จ์๋ฃ๋ณด๋ค **์ฝ๊ตญ ํ๋งค ORS(๊ฒฝ๊ตฌ
news.knowhow888.com
๐งด ์ฝ๋ค์ ค ํจ๊ณผ๋ถํฐ ์ฌ์ฉ๋ฒ, ๊ตฌ๋งค์ฒ, ๋ถ์์ฉ๊น์ง ์๋ฒฝ ๊ฐ์ด๋
๋ชฉ์ฐจ์ฝ๋ค์ ค์ด๋ ๋ฌด์์ธ๊ฐํผ์ ํจ๊ณผ์ ์๋ฆฌ์ฌ์ฉ ์์ ๊ณผ ์ฌ์ฉ๋ฒ์ฝ๊ตญ ๋ฐ ์จ๋ผ์ธ ๊ตฌ๋งค์ฒ๊ฐ๊ฒฉ ์ ๋ณด์ ์ ํ ์๋ น์ฃผ์์ฌํญ ๋ฐ ๋ถ์์ฉ๋ง๋ฌด๋ฆฌ: ์์ ํ๊ณ ๋๋ํ ์ฌ์ฉ๋ฒ1๏ธโฃ ์ฝ๋ค์ ค์ด๋ ๋ฌด์์ธ๊ฐ ์ฝ๋ค
news.knowhow888.com
๐ฆ ์์กฑ๊ตฌ๋ณ ์ฆ์๋ถํฐ ์ ์ผ ๊ธฐ๊ฐ, ์๋ฐฉ๋ฒ 10๊ฐ์ง ์ด์ ๋ฆฌ
๐ ์์กฑ๊ตฌ๋ณ ๋ค์ด๊ฐ๋ฉฐ์์กฑ๊ตฌ๋ณ(Hand, Foot and Mouth Disease, HFMD)์ ์์ ์์ ์ด๋ฆฐ์ด์์ ๊ฐ์ฅ ํํ ๋ฐ์ํ๋ ์ฌ๋ฆ์ฒ ๋ฐ์ด๋ฌ์ค์ฑ ์งํ์ ๋๋ค.๋ฐ์ด, ์ ์ ๊ถค์, ์๋ฐ ๋ฌผ์ง ๋ฐ์ง์ ํน์ง์ผ๋ก ํ๋ฉฐ, ์ ์ผ
news.knowhow888.com
"์ด ํฌ์คํ ์ ์ฟ ํก ํํธ๋์ค ํ๋์ ์ผํ์ผ๋ก, ์ด์ ๋ฐ๋ฅธ ์ผ์ ์ก์ ์์๋ฃ๋ฅผ ์ ๊ณต๋ฐ์ต๋๋ค."
์ฟ ํก์ ๋ก์ผ๋ฐฐ์ก | ์ฟ ํก - ๋ก์ผํ๋ ์
์ค๋ ์ฃผ๋ฌธํ๋ฉด ๋ด์ผ ๋์ฐฉํ๋ ์ฟ ํก์ ๋ก์ผํ๋ ์๋ฅผ ๋ง๋๋ณด์ธ์. ์ฟ ํก ์์ฐํ์์ ๋ฌด๋ฃ๋ฐฐ์ก๊ณผ ๋ฐํ๋ ๊ฐ๋ฅํด์.
www.coupang.com